Periodontologia
A saúde dos seus dentes e gengivas tem um impacto direto no seu estado de saúde geral. Existem evidências de que os pacientes com doença periodontal não tratada podem ter maior prevalência de doenças crónicas sistémicas (ex: doença cardiovascular), e até mesmo maior dificuldade no seu controlo (ex: diabetes). Para além disso, começam a surgir informações de que possa existir relação entre a doença periodontal não tratada e patologias com base inflamatória, nomeadamente: Artrite Reumatoide, Parkinson, Alzheimer, entre outras. Sendo assim, o tratamento periodontal irá representar um benefício direto na saúde oral, mas mais importante do que isso ao nível da saúde geral.
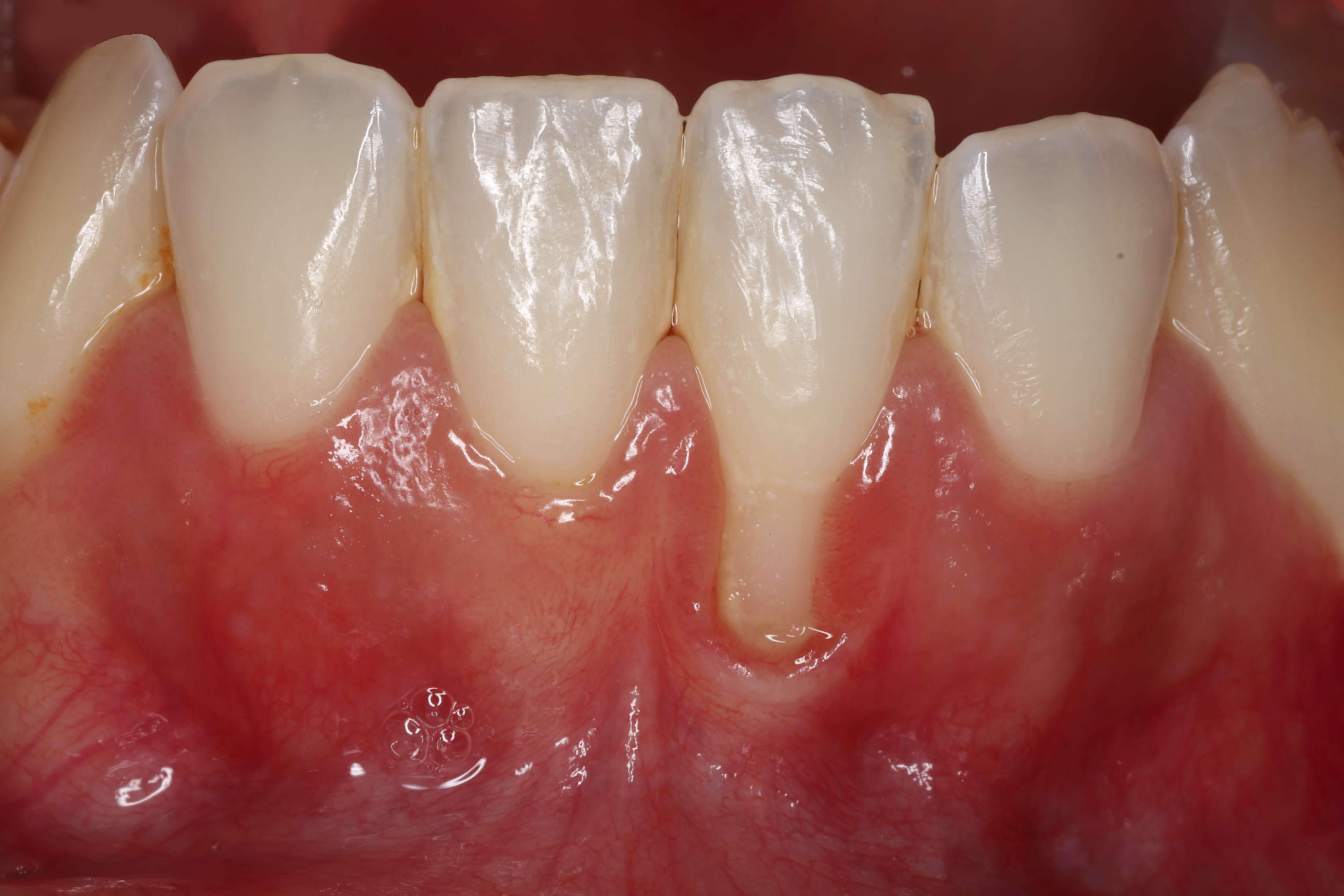
Caso clínico do Dr.º Tiago Rodrigues


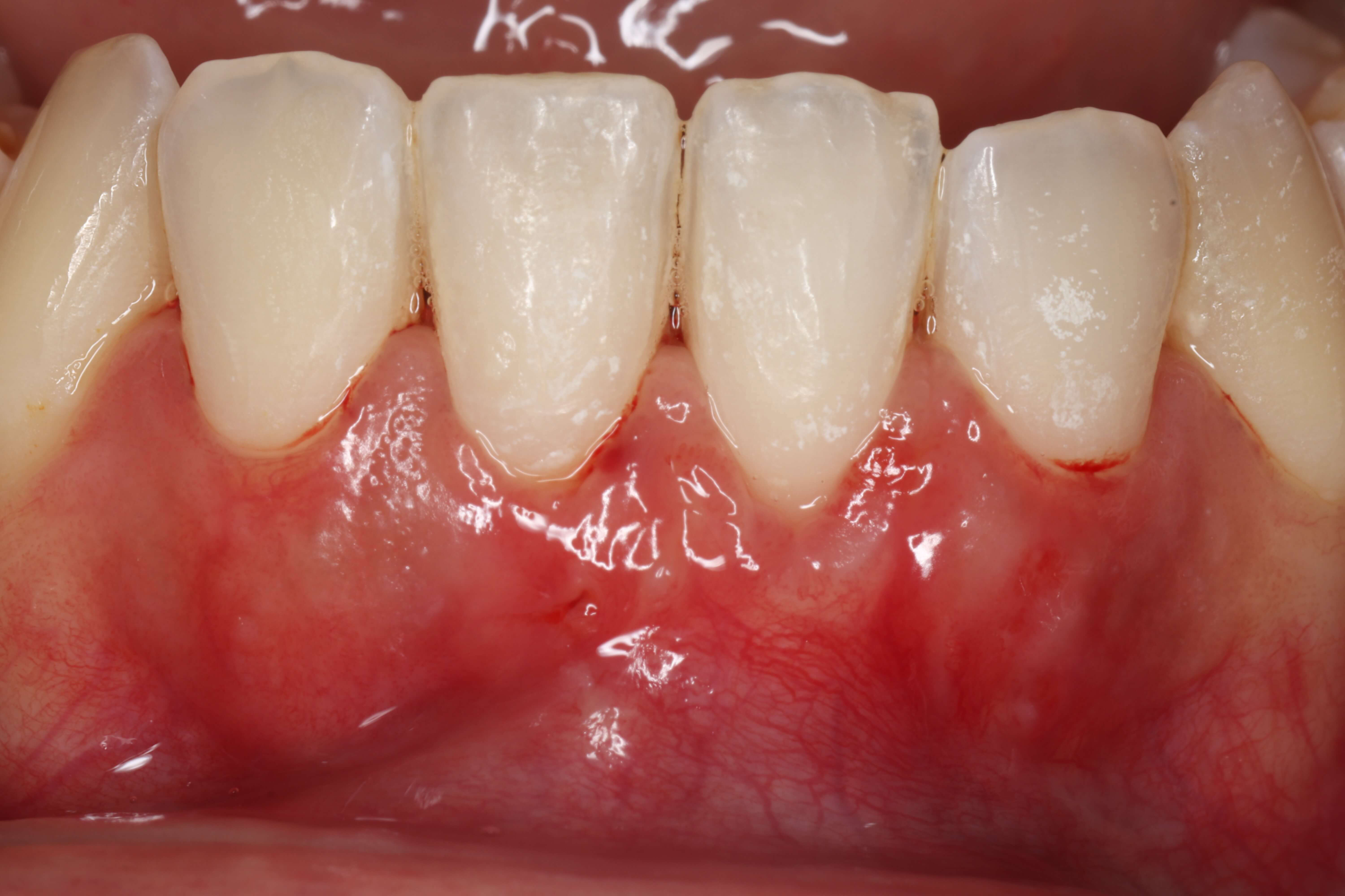
Caso clínico do Dr.º Tiago Rodrigues


A inflamação gengival ocorre devido à acumulação de placa bacteriana e tártaro junto da margem da gengiva. A fase inicial da doença é designada por gengivite e é caracterizada por: sangramento gengival, inchaço da gengiva, mau cheiro e por vezes desconforto ao toque. A gengivite tem uma resolução muito fácil e é completamente reversível. Na ausência de tratamento, a gengivite pode evoluir para periodontite, verificando-se adicionalmente: reabsorção óssea, recessão gengival, mobilidade dentária e eventualmente perda dos dentes. A periodontite quando não tratada é uma das principais causas de perda dentária nos adultos.
Na nossa clínica dispomos de um especialista nesta área, o Dr. Tiago Rodrigues, que irá fazer o correto diagnóstico e plano de tratamento mais adequado para si. Desde o tratamento não cirúrgico como os alisamentos radiculares, ao tratamento cirúrgico como as cirurgias ressectivas, de recobrimento radicular ou enxertos ósseos, temos a melhor solução para o seu problema.
